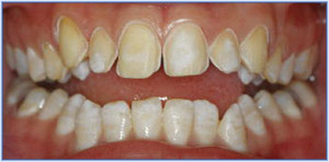
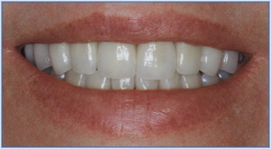
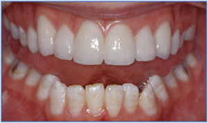
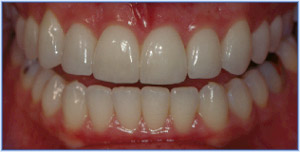
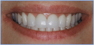
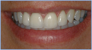
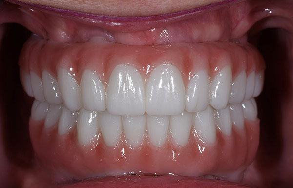
Unmatched Restorations -
Esthetic and Functional Harmony
Request UPS &
Shipping Label

Click on the button below to be taken to the UPS portal where you can fill in our information.

We will then email you a UPS shipping label allowing you to mail us your package using our account.

Proceed

Professional
Fee Guide

Updated fee guide for our professional services.

Download

Diagnostics
Close
Close
Contact Our
CEO and Cad/Cam Specialist
Having troubles or complications treatment planning a case?

Contact our technical director and founder, Jordan Lott.

Click here to learn more.
Testimonial
Videos
  • Dr Michael Lynn Gurney
  • Dr Andrea Beerman
  • Dr. Julie Gillis
  • Shannon's Story
Close
Close
Close
Close
Instagram Facebook LinkedIn Youtube