

We're receiving daily inquiries about our iStack Grammetry and Photogrammetry design services — what we offer, whether we can print or mill, and if we have a solution for you. The answer is yes to all of it! At Precision, we're a full-service lab, meaning we handle both the design and print services as well as iStack Complete services.
When it comes to design, we offer several options. Once you send us your photogrammetry records, you can choose from the following:
If you'd prefer not to print in-office, we can get you a prosthetic within 3 to 6 days based on your preferred service speed. With our expedited options, you can take your photogrammetry files from the day of surgery, and we'll have the prosthetic ready for you within a week.
Once the patient has healed (about 4-6 months post-surgery), we offer a printed try-in service, which we highly recommend. Send us new records, and we'll modify your previous design to ensure a perfect fit, adjusting it for better tissue compatibility and improving the bite if needed. We'll send you a new STL file for in-office printing. If necessary, we can also print a resin or milled PMMA and ship the try-in to you directly.
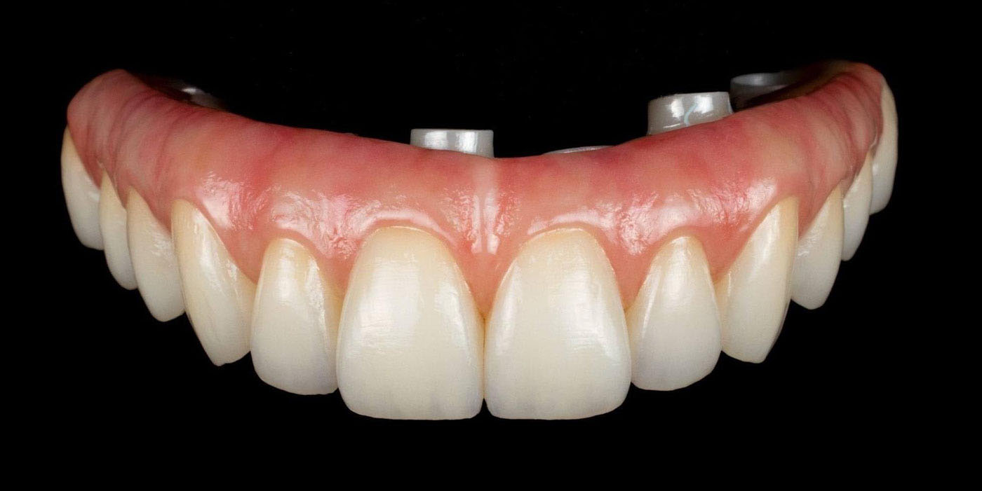
Finally, for the zirconia final, send us your records, and we'll mill a beautiful zirconia prosthesis for you. At Precision Dental Arts, we can go coping-free, offering a direct-to-multi-unit abutment solution with your Photogrammetry and Grammetry records.
If you have any other questions or comments, please contact us at 800-574-0721 and select option 1 or via our contact page.